Contact us Any Time

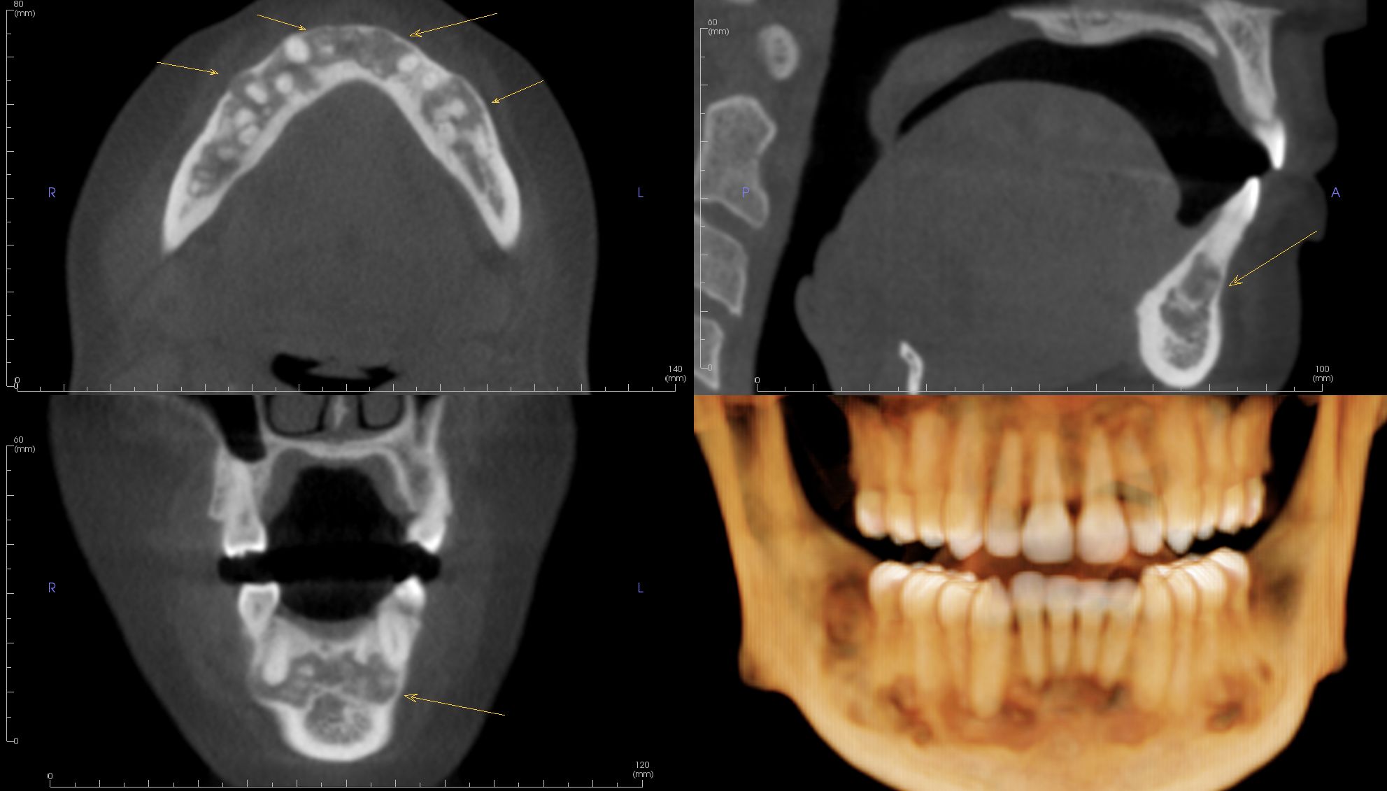
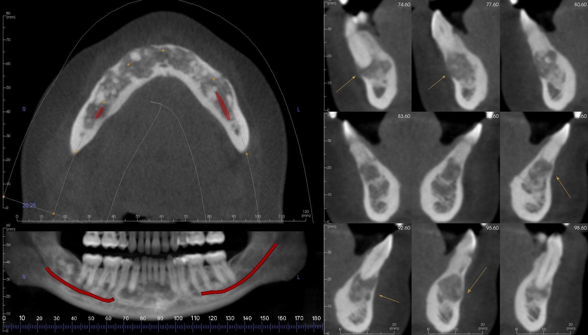
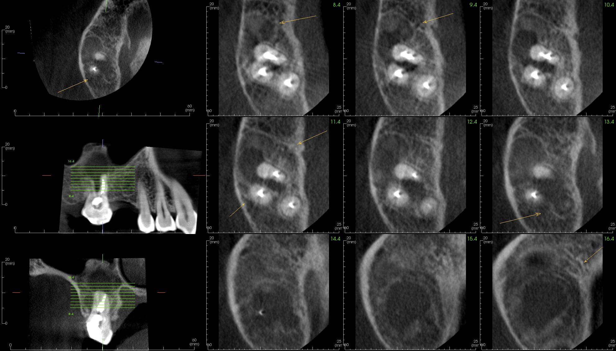
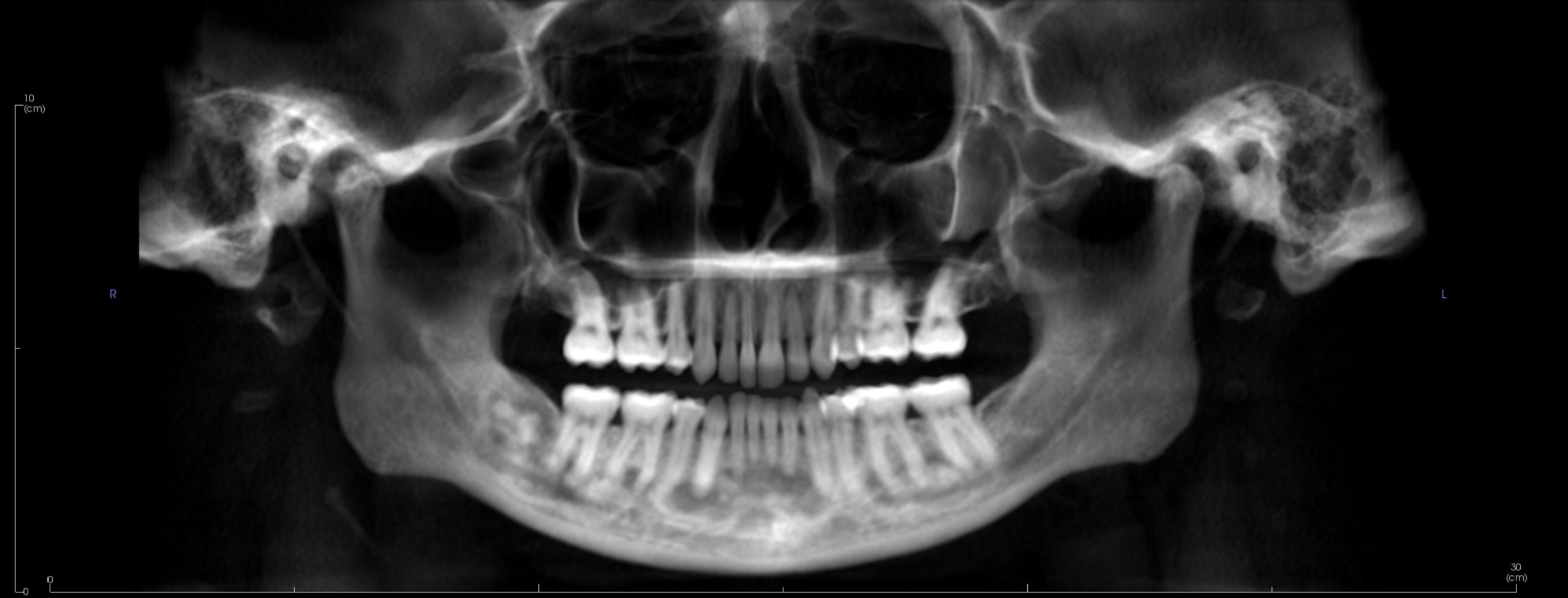
Image Portfolios

Image Portfolios visually communicate the imaging goals to you and your patient.